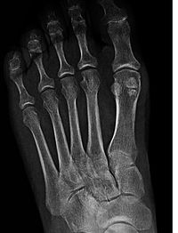
دنیای اطلاعات: استخوانهای سزموئید (sesamoid bones) استخوانهای کوچکی هستند که در لابه لای وتر اتصال عضلانی وتری قرار دارند. استخوانهای سزموئید باعث افزایش مزیت مکانیکی و محافظت از اتصالات عضلانی وتری میشوند. البته جزءدستهبندی اصلی استخوانها قرار ندارند.
استخوان سزموئید استخوانی تعبیه شده در یک تاندون یا یک عضله است. با توجه به اندازه کوچک اغلب سزموئیدها نام (دانه کنجدی) از کلمه لاتین “sesamum” (sesame seed) مشتق شده است، در بعضی اوقات این استخوان به فشارهای وارده واکنش نشان می دهد.
استخوان سزموئید

